يُعد سرطان الثدي أكثر الأمراض الخبيثة شيوعاً بين النساء في أوروبا. إنه مرض غير متجانس، ولا تزال آلية حدوثه غير واضحة في معظم الحالات. تم إحراز تقدم كبير في التشخيص المبكر وعلاج سرطان الثدي، مما أدى إلى تحسين معدلات البقاء على قيد الحياة. تُظهِر الأنواع الفرعية الجزيئية المختلفة لسرطان الثدي ميولاً متفاوتة للانتشار النقيلي إلى أعضاء مختلفة [1]. وعلى الرغم من استخدام العلاج الحديث متعدد الوسائط، فإن 30٪ من المرضى يتعرضون لعودة المرض، حيث يتطور لدى 64٪ منهم نقائل بعيدة ويتطور لدى 12٪ منهم نقائل معزولة [2].
تحدث نقائل الرئة من سرطان الثدي عندما تنفصل خلايا سرطان الثدي عن الورم الأولي، وتدخل مجرى الدم أو الجهاز اللمفاوي، وتستقر في أنسجة الرئة، حيث تبدأ بالنمو كبؤر ورم ثانوية. في الوقت الراهن، لا يزال العلاج الفعّال لهذا النوع من المرض النقيلي يُمثل تحدياً سريرياً كبيراً، ويُعزى ذلك إلى حدٍ كبير إلى قصور أساليب التشخيص المبكر. يُعد الكشف الدقيق عن تَكوّن النقائل الرئوية الدقيقة في المراحل المبكرة من تطور النقائل الرئوية ذات الأهمية السريرية أمراً بالغ الأهمية من أجل التشخيص المبكر، وعلاج الأعراض، والتنبؤ بمآل المرضى المصابين بنقائل رئوية من سرطان الثدي.
ما هو سرطان الثدي النقيلي في الرئتين؟
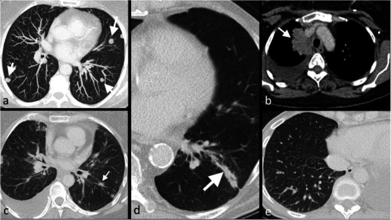
نقائل الرئة ليست سرطان الرئة بل تتكون من خلايا سرطان الثدي النقيلي. وتظهر غالباً على شكل عُقيدات متعددة بأحجام مختلفة، أو في حالات أقل شيوعاً على شكل عُقيدة رئوية منفردة (عُقيدة واحدة). وعادةً ما تكون بدون أعراض ويتم اكتشافها أثناء التصوير المقطعي المحوسب للصدر CT.

يتميز المرض النقيلي بتركيب خلوي متنوع ذي خصائص جينية ومظهرية مميزة، مما يؤدي إلى اختلافات في معدل تقدم المرض، وانتشار النقائل، وتطور المقاومة للأدوية. فكيف تحدث آلية نقائل الرئة؟ يبدأ سرطان الثدي في الثدي. ومع انقسام الخلايا السرطانية وتكاثرها، يتشكل ورم. ومع نمو الورم، يمكن للخلايا السرطانية أن تنفصل عن الورم الأولي وتنتشر إلى أعضاء بعيدة أو تغزو الأنسجة المجاورة.
لا تزال الأسباب التي تجعل التشخيص الأولي لسرطان الثدي غالباً ما يؤدي إلى انتشار النقائل في الرئتين قيد الدراسة. ومع ذلك، تُشير الأبحاث الحالية إلى أن التفاعل بين الخلايا السرطانية وجسم الإنسان، ولا سيما خصائص أنسجة الرئة، والتي تُسهِم في تثبيت ونمو الخلايا السرطانية، يلعب دوراً هاماً. هناك عدة تفسيرات لسبب ظهور النقائل في بعض الأعضاء أكثر من غيرها. ومن بين النظريات العديدة، تبرُز نظريتان كأكثرها قُبولاً. تُفسر النظرية الأولى انتشار السرطان من خلال حقيقة أن اجتماع عاملين أمراً بالغ الأهمية لنمو الخلايا السرطانية: الخلايا السرطانية نفسها والظروف السائدة في العضو المُحدد. فإذا هيأ العضو ظروفاً مواتية لتثبيت ونمو الخلايا السرطانية، فيُمكن أن تتشكل النقائل فيه. أما إذا لم تكن الظروف مُلائمة، فلن تستقر الخلايا [4, 5]. وتُؤكد النظرية الثانية على دور الدورة الدموية. فبحَسبها، تنتشر الخلايا السرطانية مع تدفق الدم وتستقر في الأعضاء التي تدخلها أولاً. وتلعب الرئتان دوراً هاماً في هذه العملية، نظراً لمرور كمية كبيرة من الدم الوريدي عبرهما.
ما هي أعراض سرطان الثدي النقيلي في الرئتين؟
في المراحل المبكرة، عندما تكون الآفات صغيرة، قد لا يشعر الشخص بأي تغيرات في حالته الصحية. تتمتع الرئتان بقدرة كبيرة على الاحتفاظ بالوظائف الحيوية، لذا حتى مع وجود نقائل صغيرة، قد تظل وظائفهما طبيعية.
عادةً ما تظهر الأعراض في وقتٍ لاحق – عندما يزداد حجم النقائل أو يزداد عددها. حينها قد يظهر السعال، وضيق التنفس، وألم الصدر، أو الشعور بنقص الهواء. ولهذا السبب، غالباً ما تُكتَشف النقائل الرئوية خلال الفحوصات الروتينية، وليس بسبب شكاوى المريض.
يمكن أن تُعبر النقائل في الرئتين عن نفسها من خلال الأعراض التالية:
- سعال مستمر أو طويل الأمد؛
- ألم أو انزعاج في الصدر؛
- ضيق في التنفس أو صعوبة التنفس؛
- التهابات متكررة في الجهاز التنفسي؛
- انصباب جنبي - تراكم السوائل بين الرئة وجدار الصدر.
تشخيص سرطان الثدي النقيلي في الرئة
عند الاشتباه في وجود نقائل الرئة، يُطلَب عادةً إجراء التصوير المقطعي المحوسب للصدر CT أو التصوير المقطعي بالإصدار البوزيتروني PET. إذا كشف التصوير عن وجود ورم وأكد الطبيب أنه سرطاني، فمن المهم أيضاً تحديد ما إذا كان سرطان رئة أولي - أي سرطان بدأ في الرئتين - أو سرطان ثدي انتشر إلى الرئتين. يختلف علاج سرطان الرئة الأولي عن علاج سرطان الثدي النقيلي الذي انتشر إلى الرئتين.
لتأكيد تشخيص نقائل الرئة، قد تشمل هذه الاختبارات ما يلي:
- فحص عينة من المخاط تحت المجهر؛
- تنظير القصبات والشُعب الهوائية – فحص الأنسجة وربما أخذ عينة من أي مناطق مشبوهة، عن طريق إدخال أنبوب مرن مزود بإضاءة في المسالك الهوائية والرئتين؛
- خزعة الرئة بالإبرة – إزالة عينة صغيرة من الأنسجة عن طريق إدخال إبرة عبر الجلد إلى الرئة المصابة، مع الاستعانة بتصوير المنطقة المشبوهة كدليل؛
- جراحة الرئة لإزالة المنطقة المشتبه بها لفحصها.
تُستخدم مؤشرات الأورام على نطاق واسع في إدارة المرضى المصابين بسرطان الثدي، سواءً أثناء علاج الورم النقيلي أو بالاقتران مع التصوير الطبي، وأخذ التاريخ المرضي، والفحص السريري. ترتفع مستويات مستضد السرطان 3-15 (CA 15-3)، ومستضد السرطان 125 (CA 125) والمستضد السرطاني المضغي (CEA) في حوالي 80٪ و 40٪ من حالات سرطان الثدي النقيلي، على التوالي [6]. في إحدى الدراسات التي أُجريت على مريضات سرطان الثدي النقيلي، كانت مستويات CA 15-3 طبيعية لدى بعضهن، بينما كانت مستويات مؤشرات الأورام الأخرى، مثل CEA أو CA 125، مرتفعة. وكان هذا أكثر شيوعاً في الأنواع الفرعية اللومينالية من سرطان الثدي النقيلي مقارنةً بالأشكال الأكثر عدوانية مثل سرطان الثدي ثلاثي السلبية [7].

خيارات علاج نقائل الرئة
يهدف علاج نقائل الرئة إلى تخفيف الأعراض، وإيقاف أو إبطاء تطور نقائل الرئة، وتوفير أفضل جودة ممكنة للحياة. تَعتبِر البروتوكولات الدولية السرطان النقيلي مرضاً جهازياً، لذا فإن العلاج الجهازي هو أساس العلاج.
العلاج الجهازي. يؤثر على الجسم بأكمله وهو الركيزة الأساسية لعلاج السرطان النقيلي.
يشمل العلاج الجهازي:
- العلاج الهرموني – إذا كان الورم معتمداً على الهرمونات؛
- العلاج الكيميائي – للأشكال العدوانية أو سريعة التقدم؛
- العلاج الموجه – إذا كان للورم أهداف جزيئية محددة (على سبيل المثال، HER2)؛
- العلاج المناعي لسرطان الثدي النقيلي – في حالات مُختارة.
الجراحة. في المرضى المصابين بسرطان الثدي النقيلي (MBC) مع نقائل الرئة، قد تستفيد بعض مريضات سرطان الثدي المختارين – ممن لديهن عدد قليل من آفات الرئة، أو فترة خالية من المرض طويلة (DFI)، أو أورام إيجابية لمستقبلات الهرمونات – من الإزالة الجراحية لنقائل الرئة. ومع ذلك، لم يتم بعد تحديد معايير واضحة لاختيار هؤلاء المريضات [8].
العلاج الإشعاعي. يمكن استخدامه للنقائل المنفردة (SBRT - العلاج الإشعاعي التجسيمي للجسم)، ولتخفيف الأعراض، وللمضاعفات مثل ضغط الأوعية الكبيرة في الصدر.
من المهم أن يكون المرضى على دراية ليس فقط بخيارات العلاج لنقائل الرئة من سرطان الثدي، بل أيضاً بقيود العلاج. قد تُسبب العديد من العلاجات آثاراً جانبية، مثل الغثيان، والتعب، وتساقط الشعر، وضعف المناعة. من أبرز السلبيات الرئيسية لعلاج نقائل الرئة هي الفعالية المحدودة ومعدلات البقاء المنخفضة على المدى الطويل بشكلٍ عام – إذ لا يؤدي العلاج دائماً إلى إيقاف المرض بشكلٍ دائم، وفي كثير من الحالات يُسيطر عليه مؤقتاً فقط.
أساليب العلاج المبتكرة
العلاج بالخلايا المتغصنة
في عام 2011، حصل عالم المناعة الأمريكي رالف ستاينمان على جائزة نوبل تقديراً لاكتشافه [9]. على الرغم من أن الخلايا السرطانية تنشأ من خلايا طبيعية في الجسم، إلا أنها قد تُظهِر درجة من الاستمناع، ويمتلك جهاز المناعة عدد من آليات العمل ضد الأورام. ولأن الخلايا المتغصنة Dendritic cells تلعب دوراً محورياً في وظائف الجهاز المناعي وقدرته على التعرف على الأمراض، يعتقد العلماء أنه يمكن استخدامها "لتعزيز" مناعة الجسم الذاتية بحيث تُصبح أكثر فعالية في اكتشاف وتدمير الخلايا السرطانية.

تنشأ الخلايا المتغصنة Dendritic cells في نخاع العظم وتتطور من خلايا سلفية نخاعية أو لمفاوية. وهي تمثل أقل من 1٪ من الخلايا الموجودة في الأعضاء اللمفاوية وتكون أقل شيوعاً في الأنسجة الأخرى [10]. تُعد الخلايا المتغصنة من الخلايا الأساسية في الجهاز المناعي، وتتمثل وظيفتها الأساسية في "تعليم" الجهاز المناعي كيفية التعرف على الخلايا السرطانية. كجزء من العلاج، يتم تنشيط الخلايا المتغصنة الخاصة بالمريض أو "تحميلها" بمستضدات الورم في المختبر، ثم إعادتها إلى جسم المريض. وهذا يؤدي إلى تحفيز جهاز المناعة لدى المريض لمهاجمة خلايا سرطان الثدي، بما في ذلك النقائل الرئوية.
في حالات النقائل الرئوية، قد يكون هذا العلاج ذا أهمية خاصة، نظراً لأن الرئتين عضو نشط مناعياً، إلا أن الاستجابة المناعية فيهما غالباً ما تكون مُثَبَّطة بفعل الورم. قد يُساعد تنشيط الجهاز المناعي في السيطرة على النقائل الدقيقة، والتي لا تكون دائماً قابلة للاستجابة للعلاج الكيميائي أو العلاج الإشعاعي. تُعد الرئتان، كموقع شائع لحدوث النقائل، عضو ذا نشاط مناعي عالٍ، ولكنهما في الوقت نفسه عُرضة لتكوين بيئة مثبطة للمناعة. وهذا يخلق ظروف يكون فيها إعادة تنشيط الاستجابة المناعية من خلال الخلايا المتغصِّنة مُبَرَّراً من الناحية الإمراضية.
الخلايا المتغصنة: كيف يمكن للجهاز المناعي مكافحة السرطان والشيخوخة – مقابلة حصرية مع البروفيسور جانسوج
هل يمكن أن يكون الجهاز المناعي هو المفتاح لعلاج السرطان – بل وحتى التأثير على عملية الشيخوخة؟ في هذه المقابلة الحصرية، يشرح البروفيسور جانسوج، رئيس مستشفى العلاج بالخلايا المتغصنة المبتكر، بأسلوب مُبَسّط وواضح وصريح كيف تعمل الخلايا المتغصنة، ومتى تكون فعّالة حقاً، ولماذا يغير هذا النهج طريقة تفكيرنا في الطب الحديث.
يُعدّ العلاج بالخلايا المتغصنة Dendritic cell therapy نهجاً علاجياً مناعياً واعداً ومُبَرَّراً بيولوجياً لعلاج نقائل الرئة لدى مريضات سرطان الثدي. يتمثل دوره الأساسي ليس في التقليل السريع لكتلة الورم، بل في استعادة السيطرة المناعية المضادة للورم، لا سيما في المراحل المبكرة أو غير المصحوبة بأعراض من عملية النقائل. في المرحلة الحالية، ينبغي اعتبار العلاج بالخلايا المتغصنة DCT لسرطان الثدي النقيلي في الرئتين كعلاج مُساعد مُكَمّل للعلاج القياسي ضمن إطار التجارب السريرية أو البرامج الفردية المُخَصّصة لكل مريض.
تم تشخيص إصابة ماجدالينا إيفانوفا من بلغاريا بالمرحلة الرابعة من سرطان الثدي. بعد التشخيص، بدأت بالبحث عن خيارات علاج إضافية، وتعرفت على العلاج بالخلايا المتغصنة Dendritic cell therapy. تلقت ماجدالينا العلاج في ألمانيا من خلال Booking Health، حيث تم استخدام العلاج المناعي بالاشتراك مع الطرق العلاجية التقليدية. في هذه المقابلة معها، تشاركنا تجربتها الشخصية في علاج سرطان الثدي المتقدم.
الانصمام الكيميائي عبر الشرايين (ТАСЕ)
الانصمام الكيميائي عبر الشرايين TACE لنقائل الرئة من سرطان الثدي هو أسلوب من العلاج الموضعي الإقليمي يتم فيه حقن دواء العلاج الكيميائي مباشرةً في الشريان المُغذي للورم، مع إجراء إنصمام (إنسداد) متزامن للأوعية الدموية. وهذا يسمح بما يلي:
- تحقيق تركيز موضعي أعلى للدواء؛
- تقليل السُّمِّية الجهازية؛
- إحداث نقص تروية (إقفار) في نسيج الورم.

تبلغ معدلات الاستجابة حوالي 17٪ بعد الانصمام الكيميائي للشريان الرئوي و 39٪ بعد الانصمام الكيميائي للشريان القصبي، أو الانصمام المدمج، أو التسريب الكيميائي.
- الانصمام الكيميائي للشريان الرئوي هو إعطاء العلاج الكيميائي مباشرةً في شريان الرئة الذي يغذي الورم بالدم، مع إجراء انسداد جزئي متزامن للوعاء الدموي (انصمام).
- الانصمام الكيميائي للشريان القصبي هو إعطاء العلاج الكيميائي في شريان القصبات، والذي غالباً ما يكون مصدر إمداد الدم لأورام في الرئتين.
- الانصمام بدون علاج كيميائي (الانصمام المدمج) هو سد الأوعية الدموية التي تغذي الورم فقط.
- التسريب الكيميائي هو إعطاء العلاج الكيميائي في الشريان الذي يغذي الورم، دون انصمام.
علاج نقائل الرئة الناتجة عن سرطان الثدي باستخدام الانصمام الكيميائي عبر الشرايين TACE يتيح معالجة النقائل الرئوية الكبيرة والمتعددة البؤر، بما في ذلك التورط النقيلي للعقد اللمفاوية المنصفية، لدى المرضى الذين لديهم خيارات علاجية محدودة. لم تُسجَّل أي آثار جانبية خطيرة، وبلغ معدل الاستجابة الأيضية 40٪ لدى المرضى المصابين بسرطان مقاوم للعلاج الكيميائي والذين لم يتلقوا أي علاج مضاد للسرطان آخر. على عكس الكبد، حيث قد تكون النقائل شديدة أو قليلة التروية وفقاً لتصوير الأوعية الدموية مقارنةً بالأنسجة الطبيعية، فإن نقائل الرئة غالباً ما تكون شديدة التروية وفقاً لتصوير الأوعية الدموية القصبية والرئوية. وهذا يجعل الرئتين هدفاً جذاباً لإعطاء الأدوية داخل الشرايين لعلاج النقائل الرئوية [11].
ما الذي يجعل الانصمام الكيميائي عبر الشرايين أحد أقوى الأدوات في طب الأورام الحديث؟
في هذه المقابلة المتعمقة، يشرح البروفيسور الدكتور أتيلا كوفاتش – الخبير الرائد في مجال الأشعة التداخلية والذي يتمتع بأكثر من 26 عاماً من الخبرة – بالتفصيل كيف يعمل الانصمام الكيميائي عبر الشرايين TACE، ولماذا أصبح "المعيار الذهبي" للأورام شديدة التروية الدموية، وكيف تُغير التقنيات طفيفة التوغل نهج علاج السرطان – من العلاج الجذري إلى الرعاية التلطيفية.
العلاج الكيميائي الإقليمي
العلاج الكيميائي الإقليمي لسرطان الثدي المصحوب بنقائل في الرئة هو طريقة للعلاج الموضعي الإقليمي تتضمن إعطاء أدوية العلاج الكيميائي مباشرةً في الأوعية الدموية التي تغذي الورم بالدم، بهدف تحقيق تركيزات عالية من الدواء موضعياً مع تقليل السُّمِّية الجهازية.
في إحدى الدراسات التي شملت 162 مريضة، كان 43 منهن يُعانين من المرحلة الرابعة من سرطان الثدي ثلاثي السلبية مع نقائل في الرئة. ووفقاً للبيانات، فإن نسبة حدوث النقائل الرئوية لدى مريضات TNBC قد تصل إلى 40٪. غالباً ما لا يكون هؤلاء المرضى مرشحين للجراحة ولا يستجيبون للعلاج الكيميائي الجهازي. خضع المرضى لـ التروية الصدرية المعزولة (ITP)، وهي طريقة علاج إقليمية يتم فيها فصل الدورة الدموية لأعضاء الصدر مؤقتاً عن الدورة الدموية العامة لتوصيل جرعات عالية جداً من العلاج الكيميائي مباشرةً إلى الرئتين والمنصف، مما يقلل من السُّمِّية الجهازية. بلغت نسبة الاستجابة 50٪ لدى النساء المصابات بنقائل رئوية من سرطان الثدي ثلاثي السلبية مع متوسط بقاء على قيد الحياة بلغ 14 شهراً من وقت إجراء أول تروية صدرية معزولة ITP وحتى آخر تواصل مع المرضى [12].
استخدمت دراسة أخرى التسريب داخل الشرايين بالاشتراك مع التثقيب الكهربائي المعكوس لتعظيم تركيز الدواء موضعياً وفعالية العلاج وللحد من الآثار الجانبية الجهازية. أما الأخير (التثقيب الكهربائي المعكوس) فهو تقنية طبية يتم فيها إيصال نبضات كهربائية مُتحَكم بها إلى نسيج الورم لجعل أغشية الخلايا مؤقتاً أكثر نفاذية. كان هذا المزيج العلاجي مُمكناً من الناحية التقنية وحقق استجابة سريرية جيدة مع آثار جانبية طفيفة. لوحظ انخفاض حجم الورم في جميع الحالات باستثناء حالة واحدة، وذلك بعد 2-7 أيام من كل دورة علاجية من أصل 21 دورة. أظهرت فحوصات المتابعة الإشعاعية التي أُجريت بعد 4-8 أسابيع من العلاج انخفاضاً وسطياً في أكبر قطر للورم بنسبة 45٪، واستجابة كاملة في حالتين، وإمكانية استئصال كاملة (R0) في أربع حالات. كانت الآثار الجانبية المعتادة للعلاج الكيميائي غائبة أو في حدها الأدنى. كان الغثيان الخفيف نادراً واختفى في غضون يومين من العلاج. وتم الإبلاغ عن تساقط الشعر في حالة واحدة فقط.
يمكن تكرار هذا العلاج، وفي بعض الحالات قد يؤدي إلى إمكانية استئصال الورم. ومع ذلك، في بعض الحالات السريرية، قد يكون استخدام التروية المعزولة أكثر فعالية وأماناً من حيث التغطية الكاملة للورم وتقليل خطر زيادة النقائل [13].
العلاج في الخارج: مقارنة التكاليف والفُرص
في سياق التخطيط لعلاج النقائل الرئوية من سرطان الثدي، يُعدّ تقييم التكاليف المالية جانباً بالغ الأهمية للمرضى وعائلاتهم. إذ يمكن أن تختلف تكلفة الرعاية الطبية اختلافاً كبيراً تبعاً للبلد، ونظام الرعاية الصحية، واختيار أساليب العلاج (التقليدية أو المبتكرة)، والحاجة إلى مناهج علاجية فردية أو تجريبية.
فيما يلي مقارنة تقريبية لتكاليف طرق العلاج الرئيسية في ثلاث وجهات شهيرة للسياحة العلاجية والعلاج الدولي: ألمانيا، والمملكة المتحدة، والولايات المتحدة. ففي هذه الدول توجد أفضل المستشفيات لعلاج سرطان الثدي المصحوب بنقائل. سيساعدك هذا على فهم ميزانيتك المحتملة بشكلٍ أفضل واختيار المسار العلاجي الأمثل، مع مراعاة احتياجاتك الطبية السريرية وقدراتك المالية.
| نوع العلاج | التكلفة في ألمانيا | التكلفة في بريطانيا العظمى | التكلفة في الولايات المتحدة الأمريكية |
|---|---|---|---|
| الجراحة | 25.000 € - 45.000 € | 35.000 € - 55.000 € | 65.000 € - 85.000 € |
| العلاج الكيميائي | 80.000 € - 150.000 € دورة كاملة | 90.000 € - 165.000 € دورة كاملة | 100.000 € - 180.000 € دورة كاملة |
| العلاج الإشعاعي | 28.000 € - 42.000 € | 35.000 € - 65.000 € | 40.000 € - 80.000 € |
| العلاج الهرموني | 10.000 € - 15.000 € | 9.500 € - 21.000 € | 19.000 € - 37.000 € |
| العلاج بالخلايا المتغصنة | 20.000 € - 38.000 € | غير متوفر | 100.000 € - 150.000 € |
الأساليب الحديثة لعلاج نقائل الرئة في سرطان الثدي: تحليل مُقارَن
لا يزال علاج نقائل الرئة لدى مريضات سرطان الثدي النقيلي يُمثل تحدياً سريرياً كبيراً، لا سيما لدى المريضات اللاتي يعانين من تفاقم المرض بعد العلاج الجهازي القياسي. تُعدّ طرق العلاج التقليدية، بما في ذلك العلاج الكيميائي الجهازي، والعلاج الهرموني، والعلاج الموجه، أساس البروتوكولات الدولية الحديثة، إلا أن فعاليتها غالباً ما تكون محدودة بسبب تطور المقاومة للأدوية والسُمّية الجهازية. وفي هذا الصدد، فإن الأساليب المبتكرة والموضعية الإقليمية التي تهدف إلى تعزيز السيطرة الموضعية على العملية الورمية، وتقليل العبء الجهازي للعلاج، وتحسين جودة حياة المرضى، تحظى باهتمام متزايد في الممارسة السريرية والبرامج البحثية.
فيما يلي وصف مقارن للطرق القياسية والمبتكرة/التجريبية لعلاج نقائل الرئة في سرطان الثدي، مع الأخذ في الاعتبار آثارها الجانبية، ومدتها، ومزاياها، وعيوبها.
| نوع العلاج | الاستجابة | معدل البقاء على قيد الحياة | الآثار الجانبية | العيوب | الفوائد | مؤشرات الاستخدام |
|---|---|---|---|---|---|---|
| الجراحة | غير مُطَبَّقة | ~٪70 لسرطان المرحلة الأولى | ألم، خطر العدوى، وقت التعافي | 1. خطر حدوث مضاعفات (نزيف، عدوى، ردود فعل سلبية للتخدير) 2. فترة تعافي وإقامة طويلة في المستشفى 3. خطر الانتكاس 4. الحاجة إلى علاجات إضافية | الاستئصال الكامل للورم، وقد يكون علاجاً شافياً للمراحل المبكرة | جميع الأورام الموضعية |
| العلاج الكيميائي | أقل من 10٪ | ~٪20 للسرطان المتقدم | شديدة (غثيان، تساقط الشعر) | 1. آثار جانبية جهازية، وانخفاض جودة الحياة أثناء العلاج 2. تثبيط المناعة 3. فعالية محدودة ضد أنواع معينة من السرطان 4. تطور المقاومة للأدوية بمرور الوقت 5. ارتفاع معدل الانتكاس | متوفر على نطاق واسع، وفعال في علاج المرض الجهازي. يبطئ نمو الورم مؤقتاً | الأورام الخبيثة في جميع المراحل |
| العلاج الإشعاعي | أقل من 15٪ | ~٪20 للسرطان الموضعي | تعب، تهيج الجلد | 1. آثار جانبية موضعية، وانخفاض جودة الحياة أثناء العلاج 2. آثار جانبية خاصة بموقع العلاج (مثل التهاب الرئة الإشعاعي) 3. زيادة خطر حدوث سرطانات ثانوية بعد العلاج 4. فعالية محدودة | يستهدف موقع الورم بدقة، ويمكنه تقليص حجم الأورام قبل الاستئصال الجراحي | البؤرة الأساسية للورم الخبيث ونقائله إلى الدماغ |
| العلاج الهرموني | أقل من 30٪ | ~٪25 للسرطان المتقدم | متوسطة (هبات ساخنة، زيادة في الوزن، تغيرات في المزاج، انخفاض الرغبة الجنسية) | 1. انخفاض جودة الحياة أثناء العلاج 2. مضاعفات قلبية وعائية، وتغيرات أيضية، ونقص كثافة العظام، وتغيرات إدراكية ومزاجية 3. مدة فعالية محدودة، وتطور مقاومة هرمونية بمرور الوقت 4. مؤشرات استخدام محدودة، فقط للأورام الحساسة للهرمونات | غير جراحي، وجيد التحمل على المدى الطويل | الأورام الحساسة للهرمونات |
| العلاج بالخلايا المتغصنة | 50-٪70 | ~٪65 | طفيفة (تشبه أعراض الإنفلونزا) | 1. قاعدة أدلة محدودة مقارنةً بالعلاجات التقليدية 2. يتطلب تصنيعاً فردياً ومتاح فقط في مراكز متخصصة | علاج شخصي مُخصص بدرجة عالية، مناعة طويلة الأمد بعد حقنة واحدة، الحد الأدنى من الآثار الجانبية | جميع الأورام الخبيثة في جميع المراحل |
| الانصمام الكيميائي عبر الشرايين | 40-٪50 | ~٪50 | ألم، حمى، تعب | 1. تعتمد الفعالية على إمداد الورم بالدم (الشرايين القصبية مقابل الرئوية) 2. يتطلب خبرة عالية في الأشعة التداخلية | تركيز عالٍ للدواء موضعياً في الأورام، وتقليل الآثار الجانبية الجهازية | نقائل الرئة غير القابلة للاستئصال، وتقدُّم المرض بعد العلاج الجهازي |
| العلاج الكيميائي الإقليمي | 30-٪50 | غير مُطَبَّق | ألم موضعي، غثيان عابر | 1. يتطلب مراكز متخصصة 2. محدودية التوافر والأدلة السريرية | يمكن أن يُحَسِّن السيطرة الموضعية والأعراض، تركيز عالٍ للدواء موضعياً | المرض المقاوم للعلاج الكيميائي، والنقائل الرئوية غير القابلة للاستئصال |
خيارات علاج النقائل الرئوية من سرطان الثدي في ألمانيا
تُعدّ ألمانيا من المراكز الرائدة في مجال طب الأورام الحديث، وذلك بفضل التكامل بين الطب عالي التقنية، والأساس العلمي القوي، والمعايير الصارمة لجودة العلاج. تعمل المستشفيات الألمانية ضمن فرق متعددة التخصصات، ما يتيح اختياراً فردياً لتكتيكات العلاج مع مراعاة الخصائص الجزيئية للورم وخطوط العلاج السابقة، لا سيما في الحالات المعقدة لسرطان الثدي المنتشر إلى الرئتين.
يتمتع المرضى بإمكانية الوصول إلى الأدوية الجهازية الحديثة، بما في ذلك العلاج الموجه والعلاج المناعي، بالإضافة إلى الطرق المبتكرة للعلاج الموضعي والإقليمي، مثل العلاج الإشعاعي عالي الدقة (SBRT)، وطب الأورام التداخلي (TACE، والعلاج الكيميائي الإقليمي، وطرق الإرواء المعزول)، والعلاج الكيميائي الكهربائي، والنهج المناعي الفردي، وخاصةً العلاج بالخلايا المتغصنة Dendritic cell therapy.
تتمثل إحدى المزايا المهمة في التطبيق العملي للتطورات العلمية الحديثة في الممارسة السريرية: حيث يعتمد العلاج على التوصيات الدولية الحالية، ووسائل التشخيص الحديثة، واستراتيجيات إدارة المرضى الشخصية المُخَصصة، مما يسمح بالسيطرة الفعّالة على المرض والحفاظ على جودة الحياة حتى في الأشكال المتقدمة من السرطان، بما في ذلك سرطان الثدي المنتشر إلى الرئتين.
تاريخ مريضة مُصابة بسرطان الثدي المتكرر مع إصابة رئوية نقيلية
جوليا لديها تاريخ أورام معقد: سرطان الثدي الأيمن متعدد البؤر المتكرر (+cT2N0, ER-positive, HER2-negative by IHC 2)، وقد خضعت للعلاج الهرموني منذ أكتوبر 2023، بالإضافة إلى سرطان الرئة في المرحلة الرابعة – سرطان غدي مع طفرة HER2 ex20ins وحالة PD-L1 سلبية.
تُشيد عائلة جوليا بالمستوى العالي في تنظيم عملية العلاج، والدعم المُقدم من المنسقين والفريق الطبي، بالإضافة إلى ظروف الإقامة المريحة في المستشفى، مما يُخفف بشكل كبير من العبء النفسي أثناء العلاج. وبفضل جهود البروفيسور الدكتور جانسوج والدكتور تاوبرت، تمكنت المريضة من العيش لمدة عام ونصف أطول مما توقعه الأطباء وقت التشخيص. حيث كانت التوقعات الأولية، التي تم الحصول عليها في الولايات المتحدة، حوالي ستة أشهر. وعلى الرغم من انتشار السرطان إلى الرئتين، إلا أن المريضة ظلت محافظة على حالة وظيفية جيدة، ونشاط بدني، وجودة حياة عالية. تُعرب العائلة عن ثقتها الكاملة في البرنامج الطبي وفريق الأخصائيين وتُشير إلى التقدم الإيجابي المُحرَز في سير العلاج:
"المرافق الطبية مُريحة. لا يشعر المرء وكأنه في غرفة مستشفى مُخِيفة. المكان مُشمس، وجميل، ويبعث على الشعور بالدفء وكأنك في المنزل.
بفضل براعة واجتهاد البروفيسور الدكتور جانسوج والدكتور تاوبرت، تمكنت والدتي من العيش لمدة عام ونصف إضافية حتى الآن مقارنةً بالتشخيص الأصلي الذي منحها ستة أشهر فقط. لستُ مؤهلاً للتشخيص، لكنني أعلم يقيناً أن والدتي، بفضلكم جميعاً، ستعيش ثلاثين عاماً أخرى، وربما أكثر. وللتذكير فقط، أخبرها أطباؤها في الولايات المتحدة قبل عام ونصف أن أمامها ستة أشهر فقط للعيش.
بالمناسبة، ما زالت تبدو رائعة، بشعرها الأحمر الكثيف والجميل، وما زالت بنفس مقاس خصرها الذي كانت عليه في سن المراهقة. ورغم إصابتها بسرطان الرئة، ما زالت تمارس رياضة الجري كل صباح تقريباً، وتبدو جميلة كما كانت قبل اثنين وعشرين عاماً، عندما وُلدتُ.
ما كان أي من هذا ليتحقق لولا فريقكم الطبي الودود ذو الخبرة والكفاءة العالية. لدي ثقة تامة في برنامجكم وإيمان بأن علاجكم سيستمر في تحقيق النتائج المرجوة.
رحلة علاجية: كل خطوة على الطريق مع Booking Health
يُعدّ إيجاد أفضل استراتيجية علاج لحالتك السريرية مهمة صعبة. فكونك مُنهكاً بالفعل من جلسات العلاج المتعددة، واستشارة العديد من المتخصصين، وتجربة تدخلات علاجية مختلفة، قد تشعر بالحيرة أمام كَمّ المعلومات التي يقدمها لك الأطباء. في مثل هذه الحالة، يسهل اختيار خيار علاجي تقليدي شائع أو اتباع بروتوكولات علاجية نمطية موحدة مصحوبة بقائمة طويلة من الآثار الجانبية، بدلاً من اختيار خيارات علاجية مبتكرة عالية التخصيص.
لاتخاذ قرار مُستنير والحصول على خطة علاج شخصية للسرطان، والتي سيتم تصميمها خصيصاً لتُناسب حالتك السريرية المُحددة، استشر الخبراء الطبيين في Booking Health. كونها في طليعة تقديم أحدث الابتكارات الطبية بخبرة تمتد لـ 12 عاماً بالفعل، تمتلك Booking Health خبرة قوية وواسعة في إنشاء برامج إدارة لحالات السرطان المعقدة لكل حالة على حدة. بصفتها شركة موثوقة ذات سُمعة طيبة، تُقدم Booking Health خطط علاج شخصية للنقائل الرئوية من سرطان الثدي مع حجز مباشر للمستشفى ودعم كامل في كل مرحلة، بدءاً من الإجراءات التنظيمية وحتى المساعدة أثناء العلاج. نحن نُقدم:
- تقييم وتحليل التقارير الطبية
- إنشاء برنامج الرعاية الطبية
- اختيار مكان العلاج المناسب
- إعداد الوثائق الطبية وإرسالها إلى المستشفى المناسب
- استشارات تحضيرية مع الأطباء لتطوير برامج الرعاية الطبية
- تقديم المشورة المتخصصة من الخبراء أثناء الإقامة في المستشفى
- رعاية المتابعة للمريض بعد عودته إلى وطنه عقب إتمام برنامج الرعاية الطبية
- إنجاز الإجراءات الرسمية كجزء من التحضير لبرنامج الرعاية الطبية
- تنسيق وتنظيم إقامة المريض في بلد أجنبي
- المساعدة في الحصول على التأشيرات وتذاكر السفر
- منسق شخصي ومترجم فوري مع دعم على مدار الساعة 24/7
- ميزانية شفافة بدون تكاليف خفية
الصحة جانب لا يُقدر بثمن في حياتنا. لذا، ينبغي إسناد إدارة هذا الشيء القيّم والثمين إلى خبراء ذوي خبرة مُثبتة وسُمعة طيبة. Booking Health شريك جدير بالثقة يُساعدك على التمتع بصحة أقوى وجودة حياة أفضل. تواصل مع مستشارنا الطبي لمعرفة المزيد عن امكانيات العلاج الشخصي المُخصّص باستخدام أساليب مبتكرة لسرطان الثدي النقيلي تحت إشراف أبرز المتخصصين الرائدين في هذا المجال.
علاج السرطان المتقدم: قصص نجاح المرضى مع Booking Health
الأسئلة الشائعة: نقائل الرئة من سرطان الثدي
أرسل طلب للعلاجالنقائل الرئوية من سرطان الثدي هي أورام رئة ثانوية تتكون عندما تنتشر خلايا سرطان الثدي من الورم الأولي إلى أعضاء أخرى. إنها ليست سرطان رئة جديد، بل هي أحد مظاهر سرطان الثدي المتقدم.
تعتمد التوقعات على العديد من العوامل: النوع الفرعي لسرطان الثدي (ER+, HER2+, triple-negative)، وعدد وحجم النقائل، والاستجابة للعلاج، والحالة الصحية العامة للمريضة. تتيح طرق العلاج الحديثة السيطرة على المرض لسنوات والحفاظ على جودة الحياة.
ينتشر سرطان الثدي إلى الرئتين، والعظام، والكبد، والدماغ، والعقد الليمفاوية. قد تتأثر عدة أعضاء لدى الشخص في نفس الوقت.
تُعدّ الرئتان من أكثر المواقع شيوعاً للنقائل. وفقاً لتقارير مختلفة، فإن نسبة حدوث النقائل الرئوية تتراوح بين 20–40٪ لدى مرضى سرطان الثدي النقيلي، وخاصة في الأنواع الفرعية العدوانية (سرطان الثدي ثلاثي السلبية).
يمكن أن تدخل خلايا سرطان الثدي إلى مجرى الدم أو الجهاز اللمفاوي، وتمر عبر القلب، وتستقر في الأوعية الدموية الصغيرة للرئتين، حيث تبدأ في النمو وتكوين نقائل في ظل ظروف مواتية.
الأعراض المحتملة: سُعال مستمر، ضيق في التنفس، ألم أو ضغط في الصدر، تعب، التهابات متكررة في الجهاز التنفسي، نفث الدم، انصباب جنبي (تجمع السوائل حول الرئتين).
نعم. في المراحل المبكرة أو النقائل الرئوية الصغيرة، قد لا تُسبب النقائل الرئوية الصامتة أي أعراض ولا تُكتَشف إلا مُصادفةً أثناء فحص CT أو PET. لهذا السبب، تُعدّ فحوصات التصوير المنتظمة بعد علاج سرطان الثدي أمر مهم جداً.
تشمل أدوات التشخيص CT و PET-CT و MRI (في حالات مُختارة)، والخزعة (إذا لزم الأمر لتوضيح التشخيص)، والاختبارات الجينية الجزيئية، وعلامات الأورام، والاختبارات المناعية الكيميائية النسيجية.
يتم دائماً تخصيص العلاج بشكل فردي لكل مريض وقد يشمل العلاج الجهازي (العلاج الهرموني، والعلاج الكيميائي، والعلاج الموجه، والعلاج المناعي)، والعلاج الإشعاعي (بما في ذلك SBRT)، والأساليب الموضعية والإقليمية (التسريب الكيميائي، والانصمام الكيميائي، والتروية الصدرية المعزولة)، والرعاية المتقدمة للسرطان، وعلاج الأعراض.
قد يُحقق العلاج الكيميائي استجابة علاجية جيدة، لكن فعاليته قد تتضاءل بمرور الوقت نتيجة لتطور مقاومة للأدوية. غالباً ما يُستخدم بشكل متتابع أو بالاقتران مع علاجات أخرى. الهدف الرئيسي هو السيطرة على المرض والحفاظ على جودة الحياة.
نعم، ولكن ليس لجميع المرضى. حيث يُستخدم العلاج المناعي (وخاصةً مثبطات نقاط التفتيش المناعية) بناءً على النوع الجزيئي الفرعي للورم، وحالة PD-L1، ووجود طفرات محددة. تُجرَى دراسات منفصلة حول الأساليب المناعية الفردية، بما في ذلك العلاج بالخلايا المتغصنة لنقائل الرئة من سرطان الثدي.
نعم. تشمل الأساليب المبتكرة أو التجريبية ما يلي: العلاج بالخلايا المتغصنة DCT لسرطان الثدي النقيلي في الرئتين، والعلاج الكيميائي الإقليمي، والانصمام الكيميائي عبر الشريان. تُستخدم هذه الأساليب في مرضى مُختارين وعادةً بالاقتران مع العلاج القياسي.
تشتهر ألمانيا بمستواها العالي من الخبرة في مجال علاج الأورام، وإمكانية الوصول إلى البرامج المبتكرة والتجريبية، والنهج متعدد التخصصات، والمتخصصين ذوي الخبرة، والنتائج طويلة الأجل، وإمكانية الحصول على علاج فردي عالي الجودة للأورام.
تعتمد تكلفة العلاج على نوع العلاج، ومدة البرنامج، واستخدام الأساليب المبتكرة. في المتوسط، يمكن أن تتراوح النفقات الطبية بين 20 ألف و 40 ألف يورو، خاصةً عند استخدام إجراءات تجريبية أو عالية التخصيص. يتم تحديد التكلفة الدقيقة لكل حالة على حدة بعد تقييم الوثائق الطبية وأخذ رعاية السرطان في الخارج بعين الاعتبار.
يتفاوت معدل البقاء على قيد الحياة بشكل كبير. فبعض المرضى يعيشون لأشهر، بينما يعيش آخرون لسنوات عديدة، خاصةً عند تحقيق استجابة جيدة للعلاج واعتماد نهج شامل حديث. اليوم، يُنظر إلى سرطان الثدي النقيلي بشكل متزايد على أنه مرض مزمن يُمكن السيطرة عليه، وليس حُكماً فورياً بالموت.
اختر العلاج في الخارج وستحصل بالتأكيد على أفضل النتائج!
المؤلفون:
تم تحرير المقال من قبل خبراء طبيين وأطباء معتمدين من مجلس الأطباء الدكتورة ناديجدا إيفانيسوفا و الدكتورة داريا سوخوروتشينكو. لعلاج الحالات المشار إليها في المقال، يجب استشارة الطبيب؛ المعلومات الواردة في المقالة ليست مخصصة للتطبيب الذاتي!
سياستنا التحريرية، التي توضح بالتفصيل التزامنا بالدقة والشفافية، متاحة هنا. انقر على هذا الرابط لمراجعة سياساتنا.
المصادر:
[1] Catarina Lourenço, Francisco Conceição, Carmen Jerónimo, Meriem Lamghari, Daniela M Sousa. Stress in Metastatic Breast Cancer: To the Bone and Beyond. Cancers (Basel). 2022 Apr 8;14(8):1881. doi: 10.3390/cancers14081881. [DOI] [PMC free article]
[2] H Kreisman, N Wolkove, H S Finkelstein, C Cohen, R Margolese, H Frank. Breast cancer and thoracic metastases: review of 119 patients. Thorax. 1983 Mar;38(3):175–179. doi: 10.1136/thx.38.3.175. [DOI] [PMC free article]
[3] Filippo Pesapane, Kate Downey, Anna Rotili, Enrico Cassano, Dow-Mu Koh. Imaging diagnosis of metastatic breast cancer. Insights Imaging. 2020 Jun 16;11:79. doi: 10.1186/s13244-020-00885-4. [DOI] [PMC free article]
[4] Jenny E Chu, Alison L Allan. The Role of Cancer Stem Cells in the Organ Tropism of Breast Cancer Metastasis: A Mechanistic Balance between the “Seed” and the “Soil”? Int J Breast Cancer. 2011 Nov 3;2012:209748. doi: 10.1155/2012/209748. [DOI] [PMC free article]
[5] Isaiah J Fidler. The pathogenesis of cancer metastasis: the 'seed and soil' hypothesis revisited. Nat Rev Cancer. 2003 Jun;3(6):453-8. doi: 10.1038/nrc1098. [DOI] [PubMed]
شاهد المزيد
[6] C Tondini, D F Hayes, R Gelman, I C Henderson, D W Kufe. Comparison of CA15-3 and carcinoembryonic antigen in monitoring the clinical course of patients with metastatic breast cancer. Cancer Res. 1988 Jul 15;48(14):4107-12. [PubMed]
[7] R Yerushalmi, S Tyldesley, H Kennecke et al. Tumor markers in metastatic breast cancer subtypes: frequency of elevation and correlation with outcome. Ann Oncol. 2012 Feb;23(2):338-45. doi: 10.1093/annonc/mdr154. Epub 2011 May 4. [DOI] [PubMed]
[8] Junichi Soh, Yoshifumi Komoike, Tetsuya Mitsudomi. Surgical therapy for pulmonary metastasis of breast cancer. Transl Cancer Res. 2020 Aug;9(8):5044–5052. doi: 10.21037/tcr.2020.03.63. [DOI] [PMC free article]
[9] Roman Volchenkov, Florian Sprater, Petra Vogelsang, Silke Appel. The 2011 Nobel Prize in physiology or medicine. Scand J Immunol. 2012 Jan;75(1):1-4. doi: 10.1111/j.1365-3083.2011.02663.x. [DOI] [PubMed]
[10] C P Allan, C J Turtle, P N Mainwaring, C Pyke, D N J Hart. The immune response to breast cancer, and the case for DC immunotherapy. Cytotherapy. 2004;6(2):154-63. doi: 10.1080/14653240410005249. [DOI] [PubMed]
[11] F Edward Boas, Nancy E Kemeny, Constantinos T Sofocleous et al. Bronchial or Pulmonary Artery Chemoembolization for Unresectable and Unablatable Lung Metastases: A Phase I Clinical Trial. Radiology. 2021 Aug 31;301(2):474–484. doi: 10.1148/radiol.2021210213. [DOI] [PMC free article]
[12] Stefano Guadagni, Karl Aigner, Odisseas Zoras et al. Isolated thoracic perfusion in lung metastases from breast cancer: a retrospective observational study. Updates Surg. 2019 Mar;71(1):165-177. doi: 10.1007/s13304-018-00613-0. Epub 2018 Dec 12. [DOI] [PubMed]
[13] Kornelia Aigner, Emir Selak, Monika Pizon, Karl Reinhard Aigner. Arterial Infusion and Isolated Perfusion in Combination with Reversible Electroporation for Locally Relapsed Unresectable Breast Cancer. Cancers (Basel). 2024 Nov 28;16(23):3991. doi: 10.3390/cancers16233991. [DOI] [PMC free article]
اقرأ:
خيارات العلاج المتقدمة لنقائل الرئة
قائمة المقالات:
- ما هو سرطان الثدي النقيلي في الرئتين؟
- خيارات علاج نقائل الرئة
- أساليب العلاج المبتكرة
- العلاج في الخارج: مقارنة التكاليف والفُرص
- الأساليب الحديثة لعلاج نقائل الرئة في سرطان الثدي: تحليل مُقارَن
- خيارات علاج النقائل الرئوية من سرطان الثدي في ألمانيا
- تاريخ مريضة مُصابة بسرطان الثدي المتكرر مع إصابة رئوية نقيلية
- رحلة علاجية: كل خطوة على الطريق مع Booking Health
- الأسئلة الشائعة: نقائل الرئة من سرطان الثدي
لا تعرف من أين تبدأ؟
اتصل بـ Booking Health






